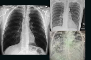
കോവിഡിൽ നിന്ന് മുക്തി നേടിയ രോഗികളുടെ ശ്വാസകോശത്തിൽ കാണപ്പെടുന്ന പരിക്കുകളും പാടുകളും പുകവലിക്കാരുടെ ശ്വാസകോശത്തിൽ കാണുന്നതിനേക്കാൾ മോശമാണെന്നാണ് റിപ്പോർട്ട്. ടെക്സാസ് ടെക് യൂണിവേഴ്സിറ്റി ഹെൽത്ത് സയൻസ് സെന്ററിലെ അസിസ്റ്റന്റ് പ്രൊഫസർ ആയ ഡോ ബ്രിട്ടാനി ബാങ്ക് ഹെഡ് കെന്റൽ ആണ് എക്സ് റേ ചിത്രങ്ങൾ പുറത്തുവിട്ടത്. കഴിഞ്ഞവർഷം മഹാമാരി പടർന്നു പിടിച്ചതു മുതൽ ആയിരക്കണക്കിന് രോഗികളെ കോവിഡ് രോഗികളെ ചികിത്സിച്ച ഡോക്ടറാണ് അദ്ദേഹം.
advertisement
സാധാരണ ആളുടെ ശ്വാസകോശം
സാധാരണ ആരോഗ്യമുള്ള ഒരാളുടെ ശ്വാസകോശവും ഒരു പുകവലിക്കുന്ന ആളുടെ ശ്വാസകോശവും കോവിഡ് ബാധിച്ച ഒരാളുടെ ശ്വാസകോശവുമാണ് ഇവർ പങ്കുവച്ചത്. സാധാരണ ശ്വാസകോശം ഇരുണ്ടതും കാണാവുന്നതുമാണ്.
പുകവലിക്കുന്ന ആളുടെ ശ്വാസകോശം
പുകവലിക്കുന്ന ആളുടെ ശ്വാസകോശം ഭാഗികമായി വെളുത്തതാണ്. എന്നാൽ, കൊറോണ വൈറസ് രോഗിയുടെ ശ്വാസകോശം കാണാൻ കഴിയാത്ത വിധത്തിലുള്ളതാണ്.
കോവിഡ് ബാധിച്ചതിനു ശേഷമുള്ള ശ്വാസകോശം
ട്വിറ്ററിലാണ് അദ്ദേഹം ഇക്കാര്യം പങ്കുവച്ചത്. കോവിഡ് ബാധിച്ചതിനു ശേഷമുള്ള ശ്വാസകോശം നല്ലൊരു പുകവലിക്കാരന്റെ ശ്വാസകോശത്തേക്കാൾ മോശമാണെന്നും അദ്ദേഹം കുറിക്കുന്നു. ശ്വാസതടസം ഉൾപ്പെടെയുള്ള അസ്വസ്ഥതകൾക്ക് അത് കാരണമാകുന്നു.
കോവിഡ് മുക്തി നേടിയവർ അനുഭവിക്കുന്ന ശ്വാസകോശ സംബന്ധമായ പ്രശ്നങ്ങളെക്കുറിച്ച് ഡോക്ടർമാർ നേരത്തെ തന്നെ മുന്നറിയിപ്പ് നൽകിയിരുന്നു. ക്ഷീണം, ശ്വാസതടസ്സം, ഹൃദയമിടിപ്പ്, സന്ധി, പേശിവേദന എന്നിവ അവയിൽ ഉൾപ്പെടുന്നു. അതേസമയം, ഇക്കാര്യം ട്വിറ്ററിൽ പങ്കുവച്ചതിനു ശേഷം നിരവധിയാളുകളാണ് ഡോക്ടറെ ബന്ധപ്പെട്ടത്.
