Post Covid | പുകവലിക്കാരുടെ ശ്വാസകോശത്തെക്കാൾ മോശമാണ് കോവിഡ് ബാധിച്ചവരുടെ ശ്വാസകോശം, ഞെട്ടിക്കുന്ന എക്സ്-റേ ചിത്രങ്ങൾ പുറത്ത്
Last Updated:
ക്ഷീണം, ശ്വാസതടസ്സം, ഹൃദയമിടിപ്പ്, സന്ധി, പേശിവേദന എന്നിവ അവയിൽ ഉൾപ്പെടുന്നു. അതേസമയം, ഇക്കാര്യം ട്വിറ്ററിൽ പങ്കുവച്ചതിനു ശേഷം നിരവധിയാളുകളാണ് ഡോക്ടറെ ബന്ധപ്പെട്ടത്.
ശ്വാസകോശം സ്പോഞ്ച് പോലെയാണെന്ന് ഏത് കൊച്ചുകുട്ടിക്കും അറിയാം. കാരണം നമ്മൾ ദിനംപ്രതി കേൾക്കുന്ന പുകവലി വിരുദ്ധ പരസ്യങ്ങൾ തന്നെ കാരണം. എന്നാൽ, ഈ സ്പോഞ്ച് പോലെയുള്ള ശ്വാസകോശത്തിനോട് പുകവലി ചെയ്യുന്നതിനേക്കാൾ വലിയ ദ്രോഹമാണ് കോവിഡ് ചെയ്യുന്നതെന്നാണ് റിപ്പോർട്ടുകൾ. കോവിഡ് ബാധിച്ച് സുഖം പ്രാപിച്ച് എത്തുന്ന ഒരാളുടെ ശ്വാസകോശം പുകവലിക്കാരുടെ ശ്വാസകോശത്തേക്കാൾ മോശമായി അവസ്ഥയിൽ ആയിരിക്കുമെന്നാണ് റിപ്പോർട്ട്.
കോവിഡിൽ നിന്ന് മുക്തി നേടിയ രോഗികളുടെ ശ്വാസകോശത്തിൽ കാണപ്പെടുന്ന പരിക്കുകളും പാടുകളും പുകവലിക്കാരുടെ ശ്വാസകോശത്തിൽ കാണുന്നതിനേക്കാൾ മോശമാണെന്നാണ് റിപ്പോർട്ട്. ടെക്സാസ് ടെക് യൂണിവേഴ്സിറ്റി ഹെൽത്ത് സയൻസ് സെന്ററിലെ അസിസ്റ്റന്റ് പ്രൊഫസർ ആയ ഡോ ബ്രിട്ടാനി ബാങ്ക് ഹെഡ് കെന്റൽ ആണ് എക്സ് റേ ചിത്രങ്ങൾ പുറത്തുവിട്ടത്. കഴിഞ്ഞവർഷം മഹാമാരി പടർന്നു പിടിച്ചതു മുതൽ ആയിരക്കണക്കിന് രോഗികളെ കോവിഡ് രോഗികളെ ചികിത്സിച്ച ഡോക്ടറാണ് അദ്ദേഹം.

advertisement
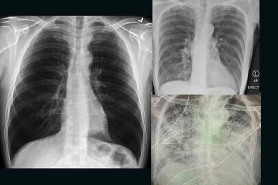
സാധാരണ ആളുടെ ശ്വാസകോശം
സാധാരണ ആരോഗ്യമുള്ള ഒരാളുടെ ശ്വാസകോശവും ഒരു പുകവലിക്കുന്ന ആളുടെ ശ്വാസകോശവും കോവിഡ് ബാധിച്ച ഒരാളുടെ ശ്വാസകോശവുമാണ് ഇവർ പങ്കുവച്ചത്. സാധാരണ ശ്വാസകോശം ഇരുണ്ടതും കാണാവുന്നതുമാണ്.

പുകവലിക്കുന്ന ആളുടെ ശ്വാസകോശം
പുകവലിക്കുന്ന ആളുടെ ശ്വാസകോശം ഭാഗികമായി വെളുത്തതാണ്. എന്നാൽ, കൊറോണ വൈറസ് രോഗിയുടെ ശ്വാസകോശം കാണാൻ കഴിയാത്ത വിധത്തിലുള്ളതാണ്.

advertisement
കോവിഡ് ബാധിച്ചതിനു ശേഷമുള്ള ശ്വാസകോശം
ട്വിറ്ററിലാണ് അദ്ദേഹം ഇക്കാര്യം പങ്കുവച്ചത്. കോവിഡ് ബാധിച്ചതിനു ശേഷമുള്ള ശ്വാസകോശം നല്ലൊരു പുകവലിക്കാരന്റെ ശ്വാസകോശത്തേക്കാൾ മോശമാണെന്നും അദ്ദേഹം കുറിക്കുന്നു. ശ്വാസതടസം ഉൾപ്പെടെയുള്ള അസ്വസ്ഥതകൾക്ക് അത് കാരണമാകുന്നു.
കോവിഡ് മുക്തി നേടിയവർ അനുഭവിക്കുന്ന ശ്വാസകോശ സംബന്ധമായ പ്രശ്നങ്ങളെക്കുറിച്ച് ഡോക്ടർമാർ നേരത്തെ തന്നെ മുന്നറിയിപ്പ് നൽകിയിരുന്നു. ക്ഷീണം, ശ്വാസതടസ്സം, ഹൃദയമിടിപ്പ്, സന്ധി, പേശിവേദന എന്നിവ അവയിൽ ഉൾപ്പെടുന്നു. അതേസമയം, ഇക്കാര്യം ട്വിറ്ററിൽ പങ്കുവച്ചതിനു ശേഷം നിരവധിയാളുകളാണ് ഡോക്ടറെ ബന്ധപ്പെട്ടത്.
Location :
First Published :
Jan 15, 2021 3:06 PM IST
മലയാളം വാർത്തകൾ/ വാർത്ത/Corona/
Post Covid | പുകവലിക്കാരുടെ ശ്വാസകോശത്തെക്കാൾ മോശമാണ് കോവിഡ് ബാധിച്ചവരുടെ ശ്വാസകോശം, ഞെട്ടിക്കുന്ന എക്സ്-റേ ചിത്രങ്ങൾ പുറത്ത്










