'ഇതൊക്കെ എങ്ങനെ സാധിക്കുന്നു?' യുവാവിന്റെ എക്സേറേയിൽ നെഞ്ചിനകത്ത് എയർപോഡ്
- Published by:Asha Sulfiker
- news18-malayalam
Last Updated:
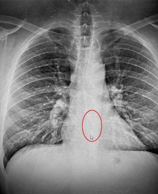
ഉറക്കത്തിൽ അറിയാതെ ഉള്ളിൽപ്പോയ എയർപോഡ് ഭാഗ്യവശാൽ ഗുരുതര പ്രശ്നങ്ങൾ ഒന്നും ഉണ്ടാക്കാത്ത തരത്തിൽ നെഞ്ചിനുള്ളിൽ തടഞ്ഞിരിക്കുന്ന നിലയിലായിരുന്നു
ശ്വാസതടസ്സവും നെഞ്ചുവേദനയും കൊണ്ടാണ് 38കാരനായ ബ്രാഡ് ഗോത്തിയർ ഉറക്കത്തിൽ നിന്നെഴുന്നേറ്റത്. ഒരു ഗ്ലാസ് വെള്ളം കുടിക്കാൻ ശ്രമിച്ചെങ്കിലും തൊണ്ടയിൽ നിന്നും താഴേക്ക് ഇറക്കാൻ പ്രയാസപ്പെട്ടു. ഇതോടെ ശ്വാസതടസ്സം രൂക്ഷമായി. തുടർന്ന് മുന്നോട്ടാഞ്ഞ് വെള്ളം തുപ്പിക്കളഞ്ഞതോടെ താത്ക്കാലിക ആശ്വാസം ലഭിച്ചു.
ബുദ്ധിമുട്ട് ഉണ്ടായിരുന്നുവെങ്കിലും പിന്നീട് സാധാരണപോലെ ബ്രാഡ് തന്റെ കാര്യങ്ങളുമായി മുന്നോട്ട് പോയി. അപ്പോഴെക്കെ നെഞ്ചിനുള്ളിൽ എന്തോ ഉണ്ടെന്ന് തോന്നൽ അനുഭവപ്പെട്ടിരുന്നു. ഇതിനിടയിലാണ് തന്റെ വയര്ലസ് എയർപോഡ് കാണാനില്ലെന്ന കാര്യവും ശ്രദ്ധയിൽപ്പെടുന്നത്. തൊണ്ടയ്ക്ക് അസ്വസ്ഥതയും എയർപോഡ് കാണാനില്ലെന്ന വിവരവും അറിഞ്ഞതോടെ ഇയാളുടെ കുടുംബമാണ് തമാശരൂപത്തിൽ പറഞ്ഞത് ചിലപ്പോൾ വിഴുങ്ങിക്കാണുമെന്ന്. ഇതോടെ ബ്രാഡിനും സംശയമായി. സംശയം മാറ്റുന്നതിനായി ആശുപത്രിയിലേക്ക് പോകാൻ തീരുമാനിക്കുകയായിരുന്നു.
advertisement
മസാച്യുസെറ്റ്സ് വോർസെസ്റ്റർ സ്വദേശിയാണ് ബ്രാഡ് ഗോത്തിയർ. എയർപോഡ് വിഴുങ്ങിക്കാണുമെന്ന തമാശ ഉയർന്നതോടെ ഉറക്കത്തിൽ അറിയാതെ വിഴുങ്ങിപ്പോയെന്ന ഭയം ബ്രാഡിനും ഉണ്ടായി. ആദ്യം ഒന്ന് മടിച്ചെങ്കിലും പിന്നീട് ആശുപത്രിയിലേക്ക് പോകാൻ തീരുമാനിക്കുകയായിരുന്നു. ഭക്ഷണം കഴിച്ച ബുദ്ധിമുട്ടാകും എന്നാണ് ആശുപത്രി ജീവനക്കാർ ആദ്യം സംശയം പ്രകടിപ്പിച്ചതെങ്കിലും എക്സ് റേ കണ്ടതോടെ കുടുംബത്തിന്റെ സംശയം സത്യമെന്ന് വ്യക്തമാവുകയായിരുന്നു.

ഉറക്കത്തിൽ അറിയാതെ ഉള്ളിൽപ്പോയ എയർപോഡ് ഭാഗ്യവശാൽ ഗുരുതര പ്രശ്നങ്ങൾ ഒന്നും ഉണ്ടാക്കാത്ത തരത്തിൽ നെഞ്ചിനുള്ളിൽ തടഞ്ഞിരിക്കുന്ന നിലയിലായിരുന്നു. എൻഡോസ്കോപ്പിയിലൂടെ അത് പുറത്തെടുക്കുകയും ചെയ്തു.
advertisement
സമാനമായ മറ്റൊരു സംഭവത്തിൽ കുട്ടിയായിരിക്കുമ്പോൾ മൂക്കിനുള്ളിലേക്ക് കയറ്റിയ നാണയം അഞ്ച് പതിറ്റാണ്ടുകൾക്ക് ശേഷം നീക്കം ചെയ്തിരുന്നു. റഷ്യൻ സ്വദേശിയായ 59കാരന്റെ മൂക്കിൽ നിന്നാണ് ശസ്ത്രക്രിയയിലൂടെ നാണയം പുറത്തെടുത്തത്. റിപ്പോർട്ടുകൾ അനുസരിച്ച് ഇയാൾക്ക് ആറുവയസുള്ളപ്പോഴാണ് ഈ നാണയം മൂക്കിനുള്ളിലകപ്പെട്ടത്.അമ്മ കർക്കശക്കാരിയായിരുന്നതിനാൽ പേടിച്ച് അന്ന് ഇക്കാര്യം പുറത്തു പറഞ്ഞിരുന്നില്ല. ബുദ്ധിമുട്ടുകളൊന്നും അനുഭവപ്പെടാതിരുന്നതിനാൽ പതിയെ സംഭവം മറക്കുകയും ചെയ്തു.
advertisement
വർഷങ്ങളോളം നാണയം മൂക്കിലിരുന്നിട്ടും ഇയാൾക്ക് പ്രത്യേകിച്ച് പ്രശ്നങ്ങൾ ഒന്നും ഉണ്ടായിരുന്നില്ല എന്നാൽ വലതുവശത്തെ മൂക്കിലൂടെ ശ്വാസമെടുക്കാൻ ബുദ്ധിമുട്ട് അനുഭവപ്പെട്ട് തുടങ്ങി. തുടർന്നാണ് ഡോക്ടറെ സമീപിക്കുന്നത്. സ്കാനിംഗിൽ മൂക്കിനുള്ളിൽ നാണയം കണ്ടെത്തി. അപ്പോഴാണ് കുട്ടിക്കാലത്ത് അകത്തേക്ക് കയറ്റിയ മെറ്റൽ വസ്തു ഇത്രയും കാലം തന്റെ മൂക്കിലുണ്ടായിരുന്നുവെന്ന യാഥാർഥ്യം മധ്യവയസ്കനും തിരിച്ചറിഞ്ഞത്. തുടർന്ന് ശസ്ത്രകിയയിലൂടെ ഇത് നീക്കം ചെയ്യുകയായിരുന്നു.
നിങ്ങളുടെ പ്രിയപ്പെട്ട സെലിബ്രിറ്റികളുടെ ഏറ്റവും ട്രെൻഡിങ് ന്യൂസ് വൈറൽ വീഡിയോ രസകരമായ വിശേഷങ്ങൾ എല്ലാം അറിയാൻ News18 മലയാളത്തിനൊപ്പം വരൂ
Location :
First Published :
Feb 06, 2021 10:43 AM IST
മലയാളം വാർത്തകൾ/ വാർത്ത/Buzz/
'ഇതൊക്കെ എങ്ങനെ സാധിക്കുന്നു?' യുവാവിന്റെ എക്സേറേയിൽ നെഞ്ചിനകത്ത് എയർപോഡ്










